口腔外科とは
口腔外科とは、歯や顎の外科的な治療を行う診療科です。親知らずや口内炎、交通事故やスポーツ、転倒などによる外傷、口腔がん、口臭症、顎関節症など、さまざまな病気に対応しています。
口腔外科で扱う病気は、食事や会話に支障をきたすだけではなく、見た目の問題からコンプレックスの原因になる場合もあります。
当院では、検査で現在の状態を詳しく確認した上で、患者さまに適した治療をご提案いたします。
親知らずの抜歯
親知らずとは?
親知らずとは、上下左右の最も奥に生える歯です。成人してから生えてくることが多いので、「親も知らない歯」という意味で親知らずと呼ばれています。
全ての親知らずに問題があるわけではありませんが、多くは斜めや横向きに生えてきてさまざまな問題を引き起こします。抜かなくてもよい親知らずは、上下の親知らずがまっすぐに生えており、正しく噛み合っている場合です。
親知らずのリスク
周りの歯に悪影響を及ぼす
親知らずが横向きに生えると、隣の歯を押して歯並びを乱したり痛みを引き起こしたりします。
隣の歯との間にすき間ができる
親知らずが斜めに生えると、隣の歯との間にすき間ができます。そこに汚れが溜まることでむし歯や歯周病のリスクが高まります。
歯茎や口の中の粘膜を傷つける
斜めに生えた親知らずが歯茎や口腔内の粘膜を傷つける場合があります。持続的に刺激されている場合は、抜歯になります。
他院で親知らずの抜歯を断られた方へ
親知らずを抜歯する際は、血管や神経の位置を把握する必要があります。当院では、歯科用CTで精密検査をした上で親知らずの抜歯を行っております。
安全性を高めることに努めておりますので、他院で断られた方も一度ご相談ください。
安全に親知らずを抜くために歯科用CTで撮影
親知らずのすぐ近くには、神経や静脈など重要な組織があります。これらを傷つけると後遺症が残ったり大きなトラブルが起きたりする恐れがあるため、歯科用CTによる精密検査が必要です。
正確な画像診断を行うことで、術中の大量出血や後遺症としての神経麻痺などを回避できます。
なるべく痛みを抑えた親知らずの抜歯
親知らずの抜き方を工夫することで、抜歯の際の痛みを抑えられます。当院では、多くの抜歯経験がある歯科医師が可能な限り痛みを抑えて処置しております。
また、抜歯後も必要に応じて痛み止めを処方しますので、どうぞご安心ください。
顎関節症
顎関節症とは、顎の周りの筋肉や関節、神経などに異常が起こり、スムーズに動かせなくなったり痛みが起きたりする状態です。顎関節や咀嚼筋、顎関節内の関節円板などに障害が起きることで、口を開いたときにカクカクと音が鳴る場合があります。
放置すると悪化する場合があるので、顎の開きづらさや顎関節の痛みなどが起きた際は早めにご相談ください。
顎関節症の原因
顎関節症は、日々のストレスや噛み合わせの問題、歯を舌で押す癖、頬杖や食いしばりなど、さまざまな要因で発症します。
長年にわたり、顎関節や噛み合わせへの悪影響が続くと、顎の骨が少しずつずれて関節円板に負荷がかかります。
その結果、顎関節症を発症し、開口障害や顎関節の痛みなどの症状が現れるのです。
また、顎関節症そのものが噛み合わせに悪影響を及ぼし、さらに顎関節症が悪化するという悪循環に陥る場合もあります。
顎関節症の治療(歯ぎしり・食いしばり)
寝ているときの歯ぎしり・食いしばりは、顎関節症のリスクを高めます。ナイトガードと呼ばれるマウスピースを就寝時に装着し、歯と歯が当たるのを防ぐことに有効です。
強く噛み締めても歯や顎に大きな負担がかかりません。痛み止めで炎症を抑えつつ、顎関節症の要因を取り除くことで、症状が軽くなることが期待できます。
睡眠時無呼吸症候群とは
睡眠時無呼吸症候群は、寝ている間に呼吸が止まる病気です。1時間に5回以上の無呼吸がある場合に診断されます。
睡眠の質が低下することで、日中にひどい眠気に襲われます。
治療方法
オーダーメイドのマウスピース作製
中等度までの睡眠時無呼吸症候群には、スリープスプリントを使用します。睡眠中にスリープスプリントを装着することで、呼吸が妨げられないようにします。
スリープスプリントの製作には、耳鼻科の受診が必要です。
睡眠時無呼吸症候群の診断とスリープスプリントの作製依頼が記載された紹介状をお持ちいただければ、作製が可能となります。
スポーツマウスピースとは
スポーツマウスピースは、運動中の事故によって歯や歯茎、口腔内の粘膜、顎関節などを守るマウスピースです。また、頭部への衝撃を和らげることで、脳震盪の予防にも役立ちます。
比較的負荷の軽いスポーツでも用いられることが増えてきているので、口腔周辺を守りたい方は使用を検討してみてください。
市販のマウスピースとの違い
市販のスポーツマウスピースの中には、熱を加えて成形することで、自分の歯に合った形になるものがあります。
しかし、歯科医院で作製するスポーツマウスピースと比べると精度が劣ります。
フィット感があるほどにケガの予防に繋がるので、安全性を優先して歯科医院でスポーツマウスピースを作製することをおすすめします。
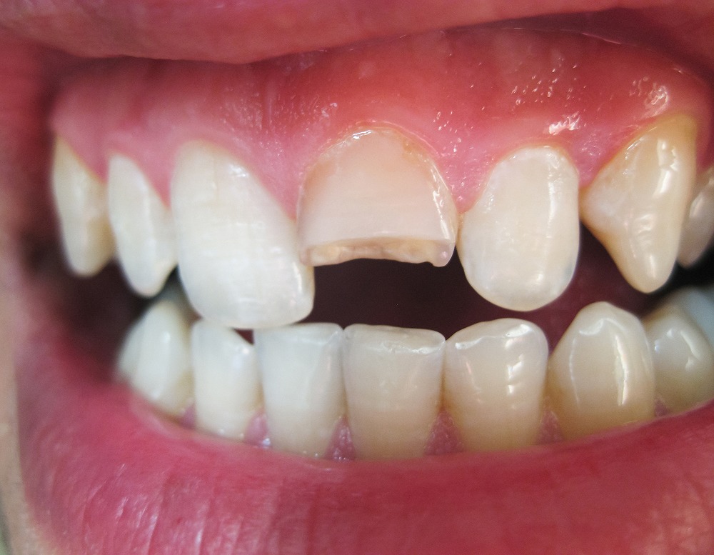
歯のケガ
転倒や事故、スポーツなどで歯が割れたり顎の骨が折れたりする場合があります。
その際は、歯や顎の骨の精密検査が必要です。当院では歯科用CTによる精密な検査をおこなった上で症状に合わせた必要な治療を提示致します。


